单细胞代码code86 张泽民院士团队 Cancer Cell 单细胞筛选将ADAM12鉴定为阻碍抗肿瘤免疫的成纤维细胞检查点
有需要进群交流的小伙伴,可以关注生信百晓生公众号 回复关键词:加群。备注学校/单位+研究方向,进群修改备注 学校/单位+研究方向

Single-cell screens identify ADAM12 as a fibroblast checkpoint impeding anti-tumor immunity
Li等人开发了一种基于CRISPRi和CRISPRa的Perturb-seq系统,用于在患者来源的成纤维细胞中进行大规模筛选。他们确定了一种IFN-1应答程序,该程序拮抗TGF-β依赖性肌成纤维细胞程序并增强抗肿瘤活性。 他们发现ADAM12是介导这种关系的检查点,它的缺失延迟了肿瘤的进展,并使实体瘤对癌症免疫疗法敏感。
亮点
基于CRISPRi/CRISPRa的Perturb-seq在患者来源的成纤维细胞中进行大规模筛选
将TGF-β依赖性myCAF程序转变为IFN-I响应状态以发挥抗肿瘤活性
ADAM12缺失抑制myCAF并增强T细胞浸润
ADAM12缺失延迟肿瘤进展并使肿瘤对免疫疗法敏感
针对癌症相关成纤维细胞(CAF)-癌症中关键的促肿瘤因子-的临床试验几乎都失败了。这可能归因于其内在的功能可塑性和肿瘤内异质表型背后的不透明调控回路。我们通过使用基于互补CRISPR干扰(CRISPRi)和激活(CRISPRa)的Perturb-seq开发患者来源的成纤维细胞的系统性筛选方法来解决这些问题。抗肿瘤干扰素(IFN)-I应答相关程序被鉴定为抵消TGF-β驱动的促肿瘤肌成纤维细胞活化的主要拮抗轴。ADAM12作为介导这种关系的分子检查点出现。其缺失增强IFN-I应答程序,将肌成纤维细胞群体结构重新配置为祖细胞样状态,恢复基于T细胞的免疫应答,并在各种鼠模型中诱导肿瘤排斥。 进一步结合人类基因组学数据分析,我们的研究结果将ADAM12定位为成纤维细胞的潜在靶点,为可行的治疗干预铺平了道路。
引言
癌症免疫治疗难治性患者的典型特征是肿瘤周围普遍存在成纤维细胞。在癌症相关成纤维细胞(CAF)中,肌成纤维细胞,特别是已知的分泌调节因子和协调细胞外基质(ECM)合成和重塑,通过抑制免疫细胞功效和物理抑制浸润来赋予抗肿瘤免疫力。具体而言,在富含肌成纤维细胞的肿瘤中,T细胞可以在空间上与肿瘤核心分离,为靶向肌成纤维细胞以使这些“冷"肿瘤”热“提供了理论基础。然而,追求这种策略的人体试验在很大程度上令人失望,没有批准用于癌症患者。这些努力中的许多都集中在由单基因标记物定义的特定肌成纤维细胞亚群上,低估了肿瘤内肌成纤维细胞固有的深刻异质性。其他针对具体肌成纤维细胞功能表型的研究,如ECM沉积和终末分化,受到肌成纤维细胞状态的动态可塑性的影响。在人类肿瘤的scRNA-seq分析中,观察了以前未探索的成纤维细胞的细胞异质性和肌成纤维细胞表型的复杂动态范围。此外,越来越多的证据表明成纤维细胞内存在抗肿瘤轴,尽管缺乏明确性。因此,与直接靶向肌成纤维细胞相比,战略性替代方案是识别和阻断阻碍肌成纤维细胞成熟的分子检查点,并将免疫抑制的平衡向促免疫和抗肿瘤状态倾斜。
正向CRISPR筛选是将细胞基因型与表型因果联系起来的有力工具。然而,当应用于原代成纤维细胞时,这种筛选遇到了技术障碍。 首先,对非上皮原代细胞的转导和遗传操作的相对抗性可以抑制对人源性成纤维细胞进行有效的基于CRISPR的基因编辑。此外,成纤维细胞之间的高表型异质性,特别是处于不同分化阶段的成纤维细胞,这种异质性也给探索肌成纤维细胞活化的调控回路带来了挑战通过传统的合并CRISPR筛选,通常依赖于有限的读数,例如特定的细胞表型或基因标记物。
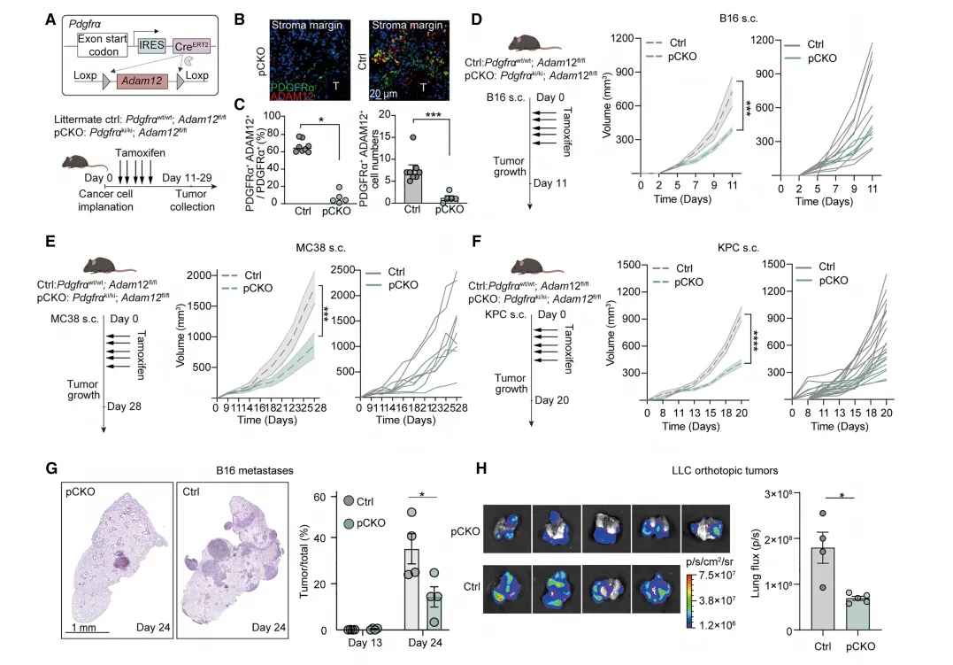
为了克服这些障碍,我们开发了针对患者来源的成纤维细胞(PDFs)的高效CRISPR干扰(CRISPRi)和CRISPR激活(CRISPRa)工具箱,随后我们将其应用于双Perturb-seq系统,以阐明成纤维细胞的基因型-表型调节。我们揭示了TGFβ介导的促肿瘤肌成纤维细胞程序和抗肿瘤干扰素(IFN)-I-α之间的拮抗关系。快速响应程序。进一步的分析发现,这种拮抗作用的平衡取决于一个分子检查点,即ADAM12。在肿瘤内,ADAM12缺失破坏了肌成纤维细胞的活化,并重新连接了成纤维细胞群体结构,导致免疫应答状态,ECM更松散。反过来,这些细胞拯救了被排斥的CD8+ T细胞重新进入肿瘤核心,并引发了增强的抗-肿瘤免疫应答。我们通过成纤维细胞中的条件性Adam12敲除或与免疫检查点阻断的组合证实了在各种小鼠模型中的有效肿瘤排斥。总之,我们的框架建立了肌成纤维细胞的抗肿瘤轴,并指出靶向ADAM 12作为一种潜在的治疗策略。
结果
计算机模拟筛选优先考虑潜在的成纤维细胞调节子,
在患者来源的离体成纤维细胞中进行基于CRISPRi和CRISPRa的单细胞筛选.单细胞筛选定义肌成纤维细胞调节程序
增强ProgB和降低ProgC诱导成纤维细胞内在抗肿瘤活性


单细胞筛选集中在ADAM12上


ADAM 12重新连接TGF-β和IFN-1信号的串扰

成纤维细胞特异性ADAM12缺失可降低多种模型中的肿瘤负荷
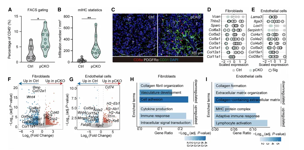
成纤维细胞特异性ADAM 12缺失后的保守性基质重编程

ADAM12缺失重塑TME并增强基于CD8+ T细胞的抗肿瘤免疫应答


ADAM12缺失增强免疫检查点阻断反应

code
https://github.com/Qile-Guo/Fibroblast/tree/main