当前位置:首页>python>10x HD 细胞分割实战|全流程Python分析

10x HD 细胞分割实战|全流程Python分析

  • 2026-04-14 17:32:22
10x HD 细胞分割实战|全流程Python分析

编者按

虽然说最新版的spaceranger v4支持直接导出细胞分割后的结果,但我们还是提供一个从图像中手动进行细胞分割的方案Cellpose和CellSAM,希望有所帮助。

steorra

Space Ranger v4.0 为 Visium HD Spatial Gene Expression 和 Visium HD 3' Spatial Gene Expression 引入了细胞核与细胞级分割结果。

而在这之前,社区里也已经出现了多种适用于高分辨率图像的细胞分割方案,例如 StarDist 和 Cellpose。原始的 bin2cell 工作流集成的是 StarDist;但是它要安装tensorflow,这有点破坏我们的torhc环境,这里我们保留 bin2cell 的整体思路,但把分割环节改写为基于 Python 的 Cellpose和CellSAM 后端,这样整条流程可以保持在纯 Python的torch 环境中完成。

本教程将演示如何在 OmicVerse 中把 Visium HD 的 2 µm bin、H&E 图像、Cellpose 分割以及 bin-to-cell 聚合串成一条完整流程。主线很明确:从超高分辨率 bin 出发,尽可能恢复接近真实细胞形状的对象,并把结果整理成可直接用于下游空间分析的细胞级数据。

import omicverse as ov
import scanpy as sc
ov.plot_set(font_path='Arial')

# 启用自动重载,便于开发时即时同步代码修改
%load_ext autoreload
%autoreload 2
🔬 Starting plot initialization...
Using already downloaded Arial font from: /tmp/omicverse_arial.ttf
Registered as: Arial
🧬 Detecting GPU devices…
✅ NVIDIA CUDA GPUs detected: 1
    • [CUDA 0] NVIDIA H100 80GB HBM3
      Memory: 79.1 GB | Compute: 9.0

   ____            _     _    __
  / __ \____ ___  (_)___| |  / /__  _____________
 / / / / __ `__ \/ / ___/ | / / _ \/ ___/ ___/ _ \
/ /_/ / / / / / / / /__ | |/ /  __/ /  (__  )  __/
\____/_/ /_/ /_/_/\___/ |___/\___/_/  /____/\___/

🔖 Version: 2.1.2rc1   📚 Tutorials: https://omicverse.readthedocs.io/
✅ plot_set complete.

加载数据集

Visium HD 很可能会成为液滴式单细胞测序之后最重要的一类空间技术之一。由于它在 2 µm bin 上记录表达信号,这份数据已经非常接近亚细胞分辨率。于是分析上会出现一个很现实的问题:我们是否可以不急着把这些 bin 粗略合并成更大的 pseudo-spot,而是借助图像和分割结果,更准确地重建细胞级对象?

Bin2cell 正是围绕这个问题设计的。它首先校正由 bin 尺寸变化引入的技术效应,然后基于图像分割把 bin 分配给候选细胞,最终得到一个可直接进入下游分析的细胞级 AnnData 对象。在这个 notebook 中,我们同时使用形态学图像和由基因表达构造出的图像表示,因为这两种输入各自覆盖了不同的分割失败场景。

这里使用的计数矩阵和 H&E 图像下载自 https://www.10xgenomics.com/datasets/visium-hd-cytassist-gene-expression-libraries-of-human-crc。

from pathlib import Path

defprint_tree(path: Path, prefix: str = ""):
    print(prefix + path.name + "/")
for child in path.iterdir():
if child.is_dir():
            print_tree(child, prefix + "    ")
else:
            print(prefix + "    " + child.name)

print_tree(Path("binned_outputs/square_002um/"))
square_002um/
    spatial/
        aligned_fiducials.jpg
        detected_tissue_image.jpg
        tissue_positions.parquet
        aligned_tissue_image.jpg
        tissue_lowres_image.png
        cytassist_image.tiff
        tissue_hires_image.png
        scalefactors_json.json
    raw_feature_bc_matrix.h5
    filtered_feature_bc_matrix/
        barcodes.tsv.gz
        features.tsv.gz
        matrix.mtx.gz
    raw_probe_bc_matrix.h5
    filtered_feature_bc_matrix.h5
    raw_feature_bc_matrix/
        barcodes.tsv.gz
        features.tsv.gz
        matrix.mtx.gz
path = "binned_outputs/square_002um/"
source_image_path = "Visium_HD_Human_Colon_Cancer_tissue_image.btf"
# os.chdir('./')

# 为 Cellpose 中间文件创建输出目录
import os
os.makedirs("stardist", exist_ok=True)

当前加载计数矩阵仍然需要一个定制的读取函数,因为 10x 已将 spot/bin 坐标移入 Parquet 文件,并把组织图像单独存放在spatial/目录下。binned 目录里通常只保留这些图像的符号链接,数据跨机器复制时这些链接可能会失效。

adata = ov.space.read_visium_10x(path, source_image_path=source_image_path)
adata.var_names_make_unique()
adata
AnnData object with n_obs × n_vars = 8731400 × 18085
    obs: 'in_tissue', 'array_row', 'array_col'
    var: 'gene_ids', 'feature_types', 'genome'
    uns: 'spatial'
    obsm: 'spatial'

在进入分割之前,先做一个轻量过滤:要求基因至少出现在 3 个 bin 中,并要求每个 bin 至少包含一些计数信息。由于 2 µm 分辨率下矩阵仍然非常稀疏,这一步主要用于去掉明显的空 bin,而不会改变整体生物学结构。

ov.pp.filter_genes(adata, min_cells=3)
ov.pp.filter_cells(adata, min_counts=1)
adata
🔍 Filtering genes...
   Parameters: min_cells≥3
✓ Filtered: 27 genes removed

╭─ SUMMARY: filter_genes ────────────────────────────────────────────╮
│  Duration: 9.769s                                                  │
│  Shape:    8,731,400 x 18,085 -> 8,731,400 x 18,058                │
│                                                                    │
│  CHANGES DETECTED                                                  │
│  ────────────────                                                  │
╰────────────────────────────────────────────────────────────────────╯
🔍 Filtering cells...
   Parameters: min_counts≥1
✓ Filtered: 475,557 cells removed

╭─ SUMMARY: filter_cells ────────────────────────────────────────────╮
│  Duration: 10.7018s                                                │
│  Shape:    8,731,400 x 18,058 -> 8,255,843 x 18,058                │
│                                                                    │
│  CHANGES DETECTED                                                  │
│  ────────────────                                                  │
╰────────────────────────────────────────────────────────────────────╯
AnnData object with n_obs × n_vars = 8255843 × 18058
    obs: 'in_tissue', 'array_row', 'array_col'
    var: 'gene_ids', 'feature_types', 'genome'
    uns: 'spatial', 'history_log'
    obsm: 'spatial'

使用 Cellpose 对 H&E 图像进行细胞分割

在这条流程里,bin2cell 会同时对 H&E 图像和一个基于基因表达构造出的图像表示做分割。输入图像的分辨率由mpp参数控制,即 microns per pixel(每个像素对应多少微米)。例如,如果直接把原始阵列坐标(.obs['array_row'].obs['array_col'])当作图像网格,那么每个像素就对应 2 µm,因此这种表示的mpp=2

在本地测试中,这个结肠样本使用0.30.5左右的mpp都能取得不错效果。这里选择mpp=0.3,因为它能在 H&E 图像上保留更清晰的形态细节,有利于 Cellpose 做边界判断。

ov.space.visium_10x_hd_cellpose_he(
    adata,
    mpp=0.3,
    he_save_path="stardist/he_colon1.tiff",
    prob_thresh=0,
    flow_threshold=0.4,
    gpu=True,
    buffer=150,
    backend='tifffile',
)
he_save_path stardist/he_colon1.tiff already exists, skipping image generation
Cropped spatial coordinates key: spatial_cropped_150_buffer
Image key: 0.3_mpp_150_buffer
no seeds found in get_masks_torch - no masks found.

初始的 H&E 分割更像是提供以细胞核为中心的种子,而完整细胞通常会明显超出细胞核范围。因此,ov.space.visium_10x_hd_cellpose_expand()会把每个已标记对象向周围 bin 扩展。

使用max_bin_distance时,距离某个标记种子不超过固定步数的 bin 会被划入同一个细胞。另一种方式是设置algorithm='volume_ratio':它会根据种子对象的大小,为每个标签估计一个单独的扩展距离,这个估计基于核体积与细胞体积近似线性相关的假设,比例由volume_ratio(默认4)控制。如果某个 bin 与多个细胞核的距离完全相同,则会借助 PCA 空间中的表达相似性来打破平局。

ov.space.visium_10x_hd_cellpose_expand(
    adata,
    labels_key='labels_he'
    expanded_labels_key="labels_he_expanded",
    max_bin_distance=4,
)

使用 Cellpose 对 GEX 图像进行细胞分割

H&E 分割并不保证完美。有些区域虽然有明显表达信号,却缺少可见的细胞核作为种子;另一些区域里的细胞核形态异常,也可能被图像模型漏掉。此时,对每个 bin 的总表达量构造图像并再次做分割,往往能补回一部分漏检对象。

不过,基于表达量的分割在稀疏组织中效果最好;如果组织过于致密,相邻细胞的信号容易混在一起,边界会变得难以区分。因此,这里把它作为次级的目标识别来源,只在 H&E 难以覆盖的地方补充对象。

这里的输入图像是每个 bin 总计数的平滑表示,先施加sigma=5像素的高斯滤波。随后继续使用 Cellpose 来识别更接近“整细胞”的对象,而不是仅识别细胞核,因此这一步之后不需要再额外做标签扩展。和 H&E 分割一样,调低prob_thresh会让判定更宽松;调高nms_thresh则要求候选对象之间有更强重叠才会被合并,在较致密区域有时会更稳。

ov.space.visium_10x_hd_cellpose_gex(
    adata,
    obs_key="n_counts_adjusted",
    log1p=False,
    mpp=0.3,
    sigma=5,
    gex_save_path="stardist/gex_colon1.tiff",
    prob_thresh=0.01,
    nms_thresh=0.1,
    gpu=True,
    buffer=150,
)
gex_save_path stardist/gex_colon1.tiff already exists, skipping grid_image
ov.space.salvage_secondary_labels(
    adata, 
    primary_label="labels_he_expanded"
    secondary_label="labels_gex"
    labels_key="labels_joint"
)
Salvaged 864 secondary labels
adata.write('visium_hd/adata_cellpose.h5ad')

Bin to Cell

到这里为止,bin 已经完成去条纹校正,并且分别基于 H&E 和 GEX 分割被分配给候选细胞。接下来就可以把 bin 级计数真正聚合成细胞级表达谱。

cdata = ov.space.bin2cell(
    adata, labels_key="labels_joint"
    spatial_keys=["spatial""spatial_cropped_150_buffer"])
cdata
AnnData object with n_obs × n_vars = 84853 × 18058
    obs: 'object_id', 'bin_count', 'array_row', 'array_col', 'labels_joint_source', 'geometry', 'cellid'
    var: 'gene_ids', 'feature_types', 'genome'
    uns: 'spatial', 'omicverse_io'
    obsm: 'spatial', 'spatial_cropped_150_buffer'
ov.pl.embedding(
    cdata,
    basis='spatial_cropped_150_buffer',
    color=['COL1A1'],
    vmax='p99.2',cmap='RdBu_r',
    size=5,
)
<Figure size 320x320 with 2 Axes>
细胞级对象构建完成后,先用COL1A1检查整体空间表达布局。

可视化

# 定义一个掩码,后续可以方便地重复抽取这块局部区域
mask = ((adata.obs['array_row'] >= 2225) & 
        (adata.obs['array_row'] <= 2275) & 
        (adata.obs['array_col'] >= 1400) & 
        (adata.obs['array_col'] <= 1450))
print(f'Subregion: {mask.sum()} bins')
Subregion: 2601 bins

bdata = adata[mask]
# 0 表示未分配给任何细胞
bdata = bdata[bdata.obs['labels_he']>0]
bdata.obs['labels_he'] = bdata.obs['labels_he'].astype(str)

sc.pl.spatial(bdata, color=[None"labels_he"], img_key="0.3_mpp_150_buffer"
              basis="spatial_cropped_150_buffer")
<Figure size 772.8x320 with 2 Axes>
这张局部图展示的是 H&E 分割得到的原始种子标签。
bdata = adata[mask]
# 0 表示未分配给任何细胞
bdata = bdata[bdata.obs['labels_he_expanded']>0]
bdata.obs['labels_he_expanded'] = bdata.obs['labels_he_expanded'].astype(str)

sc.pl.spatial(bdata, color=[None"labels_he_expanded"], img_key="0.3_mpp_150_buffer"
              basis="spatial_cropped_150_buffer")
<Figure size 772.8x320 with 2 Axes>
扩展后的 H&E 标签更接近完整细胞范围。
bdata = adata[mask]
# 0 表示未分配给任何细胞
bdata = bdata[bdata.obs['labels_gex']>0]
bdata.obs['labels_gex'] = bdata.obs['labels_gex'].astype(str)

sc.pl.spatial(bdata, color=[None"labels_gex"], img_key="0.3_mpp_150_buffer"
              basis="spatial_cropped_150_buffer")
<Figure size 772.8x320 with 3 Axes>
GEX 分割结果可以补充 H&E 难以覆盖的对象。
bdata = adata[mask]

# 0 表示未分配给任何细胞
bdata = bdata[bdata.obs['labels_joint']>0]
bdata.obs['labels_joint'] = bdata.obs['labels_joint'].astype(str)

sc.pl.spatial(bdata, color=[None"labels_joint_source"
"labels_joint"], img_key="0.3_mpp_150_buffer"
              basis="spatial_cropped_150_buffer")
<Figure size 1159.2x320 with 3 Axes>
联合标签把 H&E 与 GEX 两路结果整合到同一个对象空间中。

导出为 SpaceRanger v4 格式

ov.space.write_visium_hd_cellseg()可以把细胞级 AnnData 导出成与 SpaceRanger v4 分割输出一致的目录结构。这样一来,Cellpose 得到的分割结果就具备了更好的可移植性:任何已经支持 SpaceRanger v4 cell-segmentation 输出的工具,都可以重新读回这份结果,包括ov.io.read_visium_hd(data_type='cellseg')

重要:为导出对象调用bin2cell()时,请使用spatial_keys=['spatial']geometry_spatial_key='spatial',这样坐标才能与 hires/lowres 图像及 scalefactor 保持一致。

# 使用全分辨率空间坐标重新运行 bin2cell,便于导出为兼容 SpaceRanger 的结果
cdata_export = ov.space.bin2cell(
    adata, labels_key='labels_joint',
    spatial_keys=['spatial'],
    add_geometry=True,
    geometry_spatial_key='spatial',
)
cdata_export
AnnData object with n_obs × n_vars = 84853 × 18058
    obs: 'object_id', 'bin_count', 'array_row', 'array_col', 'labels_joint_source', 'geometry', 'cellid'
    var: 'gene_ids', 'feature_types', 'genome'
    uns: 'spatial', 'omicverse_io'
    obsm: 'spatial'
ov.space.write_visium_hd_cellseg(cdata_export, 'cellpose_spaceranger_output')
[VisiumHD][INFO] Exporting to SpaceRanger v4 format: cellpose_spaceranger_output
[VisiumHD][INFO] Writing count matrix: cellpose_spaceranger_output/filtered_feature_cell_matrix.h5
[VisiumHD][INFO] Writing segmentation GeoJSON: cellpose_spaceranger_output/graphclust_annotated_cell_segmentations.geojson
[VisiumHD][INFO]   63410 cell polygons written
[VisiumHD][INFO]   Saved tissue_hires_image.png
[VisiumHD][INFO]   Saved tissue_lowres_image.png
[VisiumHD][INFO]   Saved scalefactors_json.json
[VisiumHD][OK] Export complete: cellpose_spaceranger_output

检查导出的目录结构

from pathlib import Path

for f in sorted(Path('cellpose_spaceranger_output').rglob('*')):
if f.is_file():
        size = f.stat().st_size
        print(f'  {f.relative_to("cellpose_spaceranger_output")}{size:,} bytes')
filtered_feature_cell_matrix.h5: 891,193,118 bytes
  graphclust_annotated_cell_segmentations.geojson: 84,487,544 bytes
  spatial/scalefactors_json.json: 339 bytes
  spatial/tissue_hires_image.png: 31,418,155 bytes
  spatial/tissue_lowres_image.png: 289,844 bytes

使用ov.io.read_visium_hd重新读回

导出的目录可以通过与原生 SpaceRanger v4 cell-segmentation 输出相同的 API 再次读入。

cdata_read = ov.io.read_visium_hd(
'cellpose_spaceranger_output',
    data_type='cellseg',
)
cdata_read
[VisiumHD][INFO] read_visium_hd entry (data_type='cellseg')
[VisiumHD][START] Reading cell-segmentation data from: /scratch/users/steorra/analysis/25_pantheon_case/data_HD_sp/cellpose_spaceranger_output
[VisiumHD][INFO] Sample key: cellpose_spaceranger_output
[VisiumHD][STEP] Loading segmentation geometry: /scratch/users/steorra/analysis/25_pantheon_case/data_HD_sp/cellpose_spaceranger_output/graphclust_annotated_cell_segmentations.geojson
[VisiumHD][STEP] Loading count matrix: /scratch/users/steorra/analysis/25_pantheon_case/data_HD_sp/cellpose_spaceranger_output/filtered_feature_cell_matrix.h5
[VisiumHD][STEP] Loading images and scale factors
[VisiumHD][OK] Done (n_obs=63410, n_vars=18058)
AnnData object with n_obs × n_vars = 63410 × 18058
    obs: 'geometry'
    var: 'gene_ids', 'feature_types', 'genome'
    uns: 'spatial', 'omicverse_io'
    obsm: 'spatial'
# 注意:没有几何信息的细胞(例如仅由单个 bin 构成的细胞)
# 不会被写入 GeoJSON,因此读回后的细胞数可能更少。
print(f'Exported: {cdata_export.shape[0]} cells')
print(f'Read back: {cdata_read.shape[0]} cells')
print(f'Cell IDs match (subset): {set(cdata_read.obs_names).issubset(set(cdata_export.obs_names))}')
Exported: 84853 cells
Read back: 63410 cells
Cell IDs match (subset): True

可视化重新导入后的数据

这几张空间图用于确认:在经过 SpaceRanger 风格目录结构的导出和再导入之后,细胞坐标依然能够与 H&E 背景正确对齐。

sc.pp.normalize_total(cdata_read)
sc.pp.log1p(cdata_read)

sc.pl.spatial(
    cdata_read, color=['COL1A1''EPCAM'],
    size=8, linewidth=0, img_key='hires',
    frameon=False, cmap='RdBu_r', vmax='p99',
)
<Figure size 772.8x320 with 4 Axes>
重新导入 SpaceRanger 风格目录后,细胞坐标依然能与 H&E 背景保持一致。

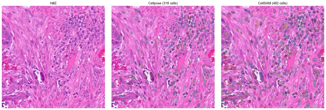
Cellpose 与 CellSAM 对比

CellSAM(Nature Methods 2025)是一个面向细胞分割的基础模型。为了更直观地理解不同后端之间的差异,这里在同一块 1024×1024 的组织裁剪区域上,对 Cellpose 和 CellSAM 做并排比较。

import numpy as np
import scipy.sparse, tifffile, zarr
from skimage.segmentation import find_boundaries
from omicverse.external.bin2cell import cellseg

# 从按 mpp 缩放后的 H&E 图像中读取一个 1024×1024 的裁剪区域
with tifffile.TiffFile('stardist/he_colon1.tiff'as tif:
    z = zarr.open(tif.pages[0].aszarr(), mode='r')
    h, w = z.shape[:2]
    crop = np.array(z[h//2-512:h//2+512, w//2-512:w//2+512, :3])
tifffile.imwrite('stardist/cmp_crop.tiff', crop)
print(f'Crop: {crop.shape}')
Crop: (1024, 1024, 3)
# Cellpose
cellseg('stardist/cmp_crop.tiff''stardist/cmp_cp.npz',
        backend='cellpose', block_size=1024, gpu=True, flow_threshold=0.4)
cp = scipy.sparse.load_npz('stardist/cmp_cp.npz').toarray()
print(f'Cellpose: {cp.max()} cells')

# CellSAM
cellseg('stardist/cmp_crop.tiff''stardist/cmp_cs.npz',
        backend='cellsam', block_size=1024, gpu=True)
cs = scipy.sparse.load_npz('stardist/cmp_cs.npz').toarray()
print(f'CellSAM: {cs.max()} cells')
Cellpose: 318 cells
Loading CellSAM model (cellsam_general)...
CellSAM model loaded. Image: 1024x1024
bin2cell.cellsam: 100%|██████████████████████████████████████████████████████████████████████████████████████| 1/1 [00:57<00:00, 57.57s/tile]
bin2cell.cellsam: 100%|██████████████████████████████████████████████████████████████████████████████████████| 1/1 [00:57<00:00, 57.57s/tile]
CellSAM segmentation complete: 482 cells
CellSAM: 482 cells
import matplotlib.pyplot as plt

def_overlay(ax, img, labels, title):
    ax.imshow(img)
    bnd = find_boundaries(labels, mode='outer')
    rng = np.random.RandomState(42)
    c = rng.rand(labels.max()+14); c[:,3]=0.25; c[0]=[0,0,0,0]
    ax.imshow(c[labels])
    b = np.zeros((*labels.shape, 4)); b[bnd]=[0,1,0,0.8]
    ax.imshow(b)
    ax.set_title(title, fontsize=13, fontweight='bold'); ax.axis('off')

fig, axes = plt.subplots(13, figsize=(186))
axes[0].imshow(crop)
axes[0].set_title('H&E', fontsize=13, fontweight='bold')
axes[0].axis('off')
_overlay(axes[1], crop, cp, f'Cellpose ({cp.max()} cells)')
_overlay(axes[2], crop, cs, f'CellSAM ({cs.max()} cells)')
plt.tight_layout()
plt.show()
<Figure size 1440x480 with 3 Axes>
在同一块组织裁剪区域上比较 Cellpose 与 CellSAM 的分割轮廓。

细胞级空间对比

把这块 1024×1024 裁剪区域中的两套分割结果都聚合成细胞级表达对象,这样就可以在同一种空间基因表达视图下直接比较两个后端。

import numpy as np

# 为裁剪区域构建一个最小化的 bin-level adata
# 该裁剪区域在 mpp 空间中覆盖 spatial_cropped 的 [cy-512:cy+512, cx-512:cx+512]
sp = adata.obsm['spatial_cropped_150_buffer']
sample = list(adata.uns['spatial'].keys())[0]
mpp_sf = adata.uns['spatial'][sample]['scalefactors'].get(
'tissue_0.3_mpp_150_buffer_scalef'0.91)
import tifffile
with tifffile.TiffFile('stardist/he_colon1.tiff'as t:
    h, w = t.pages[0].shape[:2]
cy, cx = h//2, w//2

# 选择在 mpp 缩放坐标下落入裁剪框内的 bin
scaled = sp * mpp_sf
cmask = ((scaled[:,1] >= cy-512) & (scaled[:,1] < cy+512) &
         (scaled[:,0] >= cx-512) & (scaled[:,0] < cx+512))
adata_sub = adata[cmask].copy()
print(f'Crop bins: {adata_sub.shape[0]}')

# Cellpose 标签已经在完整流程里写入 adata
# 这里直接基于已有的 labels_he_expanded 做 bin_to_cell
cdata_cp = ov.space.bin2cell(adata_sub, labels_key='labels_he_expanded',
                      spatial_keys=['spatial_cropped_150_buffer'])
sc.pp.normalize_total(cdata_cp); sc.pp.log1p(cdata_cp)
print(f'Cellpose cells: {cdata_cp.shape[0]}')
Crop bins: 23295
Cellpose cells: 428
# CellSAM:把裁剪区域的标签写回 adata_sub
from omicverse.external.bin2cell import insert_labels, expand_labels
import scipy.sparse

# 将 bin 的空间坐标映射到裁剪图像的像素坐标
crop_origin = np.array([cx-512, cy-512])
crop_px = (adata_sub.obsm['spatial_cropped_150_buffer'] * mpp_sf - crop_origin).astype(int)

cs_labels = scipy.sparse.load_npz('stardist/cmp_cs.npz')
lab_vals = np.zeros(len(adata_sub), dtype=int)
valid = ((crop_px[:,0] >= 0) & (crop_px[:,0] < cs_labels.shape[1]) &
         (crop_px[:,1] >= 0) & (crop_px[:,1] < cs_labels.shape[0]))
if valid.any():
    v = cs_labels[crop_px[valid,1], crop_px[valid,0]]
if scipy.sparse.issparse(v):
        v = np.asarray(v.todense()).flatten()
else:
        v = np.asarray(v).flatten()
    lab_vals[valid] = v
adata_sub.obs['labels_cellsam'] = lab_vals

expand_labels(adata_sub, labels_key='labels_cellsam',
              expanded_labels_key='labels_cellsam_exp', max_bin_distance=2)

cdata_cs = ov.space.bin2cell(adata_sub, labels_key='labels_cellsam_exp',
                      spatial_keys=['spatial_cropped_150_buffer'])
sc.pp.normalize_total(cdata_cs); sc.pp.log1p(cdata_cs)
print(f'CellSAM cells: {cdata_cs.shape[0]}')
CellSAM cells: 482
fig, axes = plt.subplots(12, figsize=(146))
ov.pl.spatialseg(cdata_cp, color='COL1A1', edges_color='white',
                 edges_width=0.1, alpha=0.8, ax=axes[0], show=False)
axes[0].set_title(f'Cellpose ({cdata_cp.shape[0]} cells)', fontsize=13)
ov.pl.spatialseg(cdata_cs, color='COL1A1', edges_color='white',
                 edges_width=0.1, alpha=0.8, ax=axes[1], show=False)
axes[1].set_title(f'CellSAM ({cdata_cs.shape[0]} cells)', fontsize=13)
plt.tight_layout()
plt.show()
<Figure size 1120x480 with 4 Axes>
把两套分割结果聚合成细胞级表达后,可以在同一种空间视图里直接比较。

参考文献:Polański, K., Bartolomé-Casado, R., Sarropoulos, I., Xu, C., England, N., Jahnsen, F. L., ... & Yayon, N. (2024). Bin2cell reconstructs cells from high resolution Visium HD data. Bioinformatics, 40(9), btae546.

参考文献:Stringer, C., Wang, T., Michaelos, M., & Pachitariu, M. (2021). Cellpose: a generalist algorithm for cellular segmentation. Nature methods, 18(1), 100-106.

最新文章

随机文章

基本 文件 流程 错误 SQL 调试
  1. 请求信息 : 2026-04-14 18:17:50 HTTP/2.0 GET : https://f.mffb.com.cn/a/486344.html
  2. 运行时间 : 0.112332s [ 吞吐率:8.90req/s ] 内存消耗:5,173.62kb 文件加载:140
  3. 缓存信息 : 0 reads,0 writes
  4. 会话信息 : SESSION_ID=97f9a0458b750b5e3ac221295a902636
  1. /yingpanguazai/ssd/ssd1/www/f.mffb.com.cn/public/index.php ( 0.79 KB )
  2. /yingpanguazai/ssd/ssd1/www/f.mffb.com.cn/vendor/autoload.php ( 0.17 KB )
  3. /yingpanguazai/ssd/ssd1/www/f.mffb.com.cn/vendor/composer/autoload_real.php ( 2.49 KB )
  4. /yingpanguazai/ssd/ssd1/www/f.mffb.com.cn/vendor/composer/platform_check.php ( 0.90 KB )
  5. /yingpanguazai/ssd/ssd1/www/f.mffb.com.cn/vendor/composer/ClassLoader.php ( 14.03 KB )
  6. /yingpanguazai/ssd/ssd1/www/f.mffb.com.cn/vendor/composer/autoload_static.php ( 4.90 KB )
  7. /yingpanguazai/ssd/ssd1/www/f.mffb.com.cn/vendor/topthink/think-helper/src/helper.php ( 8.34 KB )
  8. /yingpanguazai/ssd/ssd1/www/f.mffb.com.cn/vendor/topthink/think-validate/src/helper.php ( 2.19 KB )
  9. /yingpanguazai/ssd/ssd1/www/f.mffb.com.cn/vendor/topthink/think-orm/src/helper.php ( 1.47 KB )
  10. /yingpanguazai/ssd/ssd1/www/f.mffb.com.cn/vendor/topthink/think-orm/stubs/load_stubs.php ( 0.16 KB )
  11. /yingpanguazai/ssd/ssd1/www/f.mffb.com.cn/vendor/topthink/framework/src/think/Exception.php ( 1.69 KB )
  12. /yingpanguazai/ssd/ssd1/www/f.mffb.com.cn/vendor/topthink/think-container/src/Facade.php ( 2.71 KB )
  13. /yingpanguazai/ssd/ssd1/www/f.mffb.com.cn/vendor/symfony/deprecation-contracts/function.php ( 0.99 KB )
  14. /yingpanguazai/ssd/ssd1/www/f.mffb.com.cn/vendor/symfony/polyfill-mbstring/bootstrap.php ( 8.26 KB )
  15. /yingpanguazai/ssd/ssd1/www/f.mffb.com.cn/vendor/symfony/polyfill-mbstring/bootstrap80.php ( 9.78 KB )
  16. /yingpanguazai/ssd/ssd1/www/f.mffb.com.cn/vendor/symfony/var-dumper/Resources/functions/dump.php ( 1.49 KB )
  17. /yingpanguazai/ssd/ssd1/www/f.mffb.com.cn/vendor/topthink/think-dumper/src/helper.php ( 0.18 KB )
  18. /yingpanguazai/ssd/ssd1/www/f.mffb.com.cn/vendor/symfony/var-dumper/VarDumper.php ( 4.30 KB )
  19. /yingpanguazai/ssd/ssd1/www/f.mffb.com.cn/vendor/topthink/framework/src/think/App.php ( 15.30 KB )
  20. /yingpanguazai/ssd/ssd1/www/f.mffb.com.cn/vendor/topthink/think-container/src/Container.php ( 15.76 KB )
  21. /yingpanguazai/ssd/ssd1/www/f.mffb.com.cn/vendor/psr/container/src/ContainerInterface.php ( 1.02 KB )
  22. /yingpanguazai/ssd/ssd1/www/f.mffb.com.cn/app/provider.php ( 0.19 KB )
  23. /yingpanguazai/ssd/ssd1/www/f.mffb.com.cn/vendor/topthink/framework/src/think/Http.php ( 6.04 KB )
  24. /yingpanguazai/ssd/ssd1/www/f.mffb.com.cn/vendor/topthink/think-helper/src/helper/Str.php ( 7.29 KB )
  25. /yingpanguazai/ssd/ssd1/www/f.mffb.com.cn/vendor/topthink/framework/src/think/Env.php ( 4.68 KB )
  26. /yingpanguazai/ssd/ssd1/www/f.mffb.com.cn/app/common.php ( 0.03 KB )
  27. /yingpanguazai/ssd/ssd1/www/f.mffb.com.cn/vendor/topthink/framework/src/helper.php ( 18.78 KB )
  28. /yingpanguazai/ssd/ssd1/www/f.mffb.com.cn/vendor/topthink/framework/src/think/Config.php ( 5.54 KB )
  29. /yingpanguazai/ssd/ssd1/www/f.mffb.com.cn/config/app.php ( 0.95 KB )
  30. /yingpanguazai/ssd/ssd1/www/f.mffb.com.cn/config/cache.php ( 0.78 KB )
  31. /yingpanguazai/ssd/ssd1/www/f.mffb.com.cn/config/console.php ( 0.23 KB )
  32. /yingpanguazai/ssd/ssd1/www/f.mffb.com.cn/config/cookie.php ( 0.56 KB )
  33. /yingpanguazai/ssd/ssd1/www/f.mffb.com.cn/config/database.php ( 2.48 KB )
  34. /yingpanguazai/ssd/ssd1/www/f.mffb.com.cn/vendor/topthink/framework/src/think/facade/Env.php ( 1.67 KB )
  35. /yingpanguazai/ssd/ssd1/www/f.mffb.com.cn/config/filesystem.php ( 0.61 KB )
  36. /yingpanguazai/ssd/ssd1/www/f.mffb.com.cn/config/lang.php ( 0.91 KB )
  37. /yingpanguazai/ssd/ssd1/www/f.mffb.com.cn/config/log.php ( 1.35 KB )
  38. /yingpanguazai/ssd/ssd1/www/f.mffb.com.cn/config/middleware.php ( 0.19 KB )
  39. /yingpanguazai/ssd/ssd1/www/f.mffb.com.cn/config/route.php ( 1.89 KB )
  40. /yingpanguazai/ssd/ssd1/www/f.mffb.com.cn/config/session.php ( 0.57 KB )
  41. /yingpanguazai/ssd/ssd1/www/f.mffb.com.cn/config/trace.php ( 0.34 KB )
  42. /yingpanguazai/ssd/ssd1/www/f.mffb.com.cn/config/view.php ( 0.82 KB )
  43. /yingpanguazai/ssd/ssd1/www/f.mffb.com.cn/app/event.php ( 0.25 KB )
  44. /yingpanguazai/ssd/ssd1/www/f.mffb.com.cn/vendor/topthink/framework/src/think/Event.php ( 7.67 KB )
  45. /yingpanguazai/ssd/ssd1/www/f.mffb.com.cn/app/service.php ( 0.13 KB )
  46. /yingpanguazai/ssd/ssd1/www/f.mffb.com.cn/app/AppService.php ( 0.26 KB )
  47. /yingpanguazai/ssd/ssd1/www/f.mffb.com.cn/vendor/topthink/framework/src/think/Service.php ( 1.64 KB )
  48. /yingpanguazai/ssd/ssd1/www/f.mffb.com.cn/vendor/topthink/framework/src/think/Lang.php ( 7.35 KB )
  49. /yingpanguazai/ssd/ssd1/www/f.mffb.com.cn/vendor/topthink/framework/src/lang/zh-cn.php ( 13.70 KB )
  50. /yingpanguazai/ssd/ssd1/www/f.mffb.com.cn/vendor/topthink/framework/src/think/initializer/Error.php ( 3.31 KB )
  51. /yingpanguazai/ssd/ssd1/www/f.mffb.com.cn/vendor/topthink/framework/src/think/initializer/RegisterService.php ( 1.33 KB )
  52. /yingpanguazai/ssd/ssd1/www/f.mffb.com.cn/vendor/services.php ( 0.14 KB )
  53. /yingpanguazai/ssd/ssd1/www/f.mffb.com.cn/vendor/topthink/framework/src/think/service/PaginatorService.php ( 1.52 KB )
  54. /yingpanguazai/ssd/ssd1/www/f.mffb.com.cn/vendor/topthink/framework/src/think/service/ValidateService.php ( 0.99 KB )
  55. /yingpanguazai/ssd/ssd1/www/f.mffb.com.cn/vendor/topthink/framework/src/think/service/ModelService.php ( 2.04 KB )
  56. /yingpanguazai/ssd/ssd1/www/f.mffb.com.cn/vendor/topthink/think-trace/src/Service.php ( 0.77 KB )
  57. /yingpanguazai/ssd/ssd1/www/f.mffb.com.cn/vendor/topthink/framework/src/think/Middleware.php ( 6.72 KB )
  58. /yingpanguazai/ssd/ssd1/www/f.mffb.com.cn/vendor/topthink/framework/src/think/initializer/BootService.php ( 0.77 KB )
  59. /yingpanguazai/ssd/ssd1/www/f.mffb.com.cn/vendor/topthink/think-orm/src/Paginator.php ( 11.86 KB )
  60. /yingpanguazai/ssd/ssd1/www/f.mffb.com.cn/vendor/topthink/think-validate/src/Validate.php ( 63.20 KB )
  61. /yingpanguazai/ssd/ssd1/www/f.mffb.com.cn/vendor/topthink/think-orm/src/Model.php ( 23.55 KB )
  62. /yingpanguazai/ssd/ssd1/www/f.mffb.com.cn/vendor/topthink/think-orm/src/model/concern/Attribute.php ( 21.05 KB )
  63. /yingpanguazai/ssd/ssd1/www/f.mffb.com.cn/vendor/topthink/think-orm/src/model/concern/AutoWriteData.php ( 4.21 KB )
  64. /yingpanguazai/ssd/ssd1/www/f.mffb.com.cn/vendor/topthink/think-orm/src/model/concern/Conversion.php ( 6.44 KB )
  65. /yingpanguazai/ssd/ssd1/www/f.mffb.com.cn/vendor/topthink/think-orm/src/model/concern/DbConnect.php ( 5.16 KB )
  66. /yingpanguazai/ssd/ssd1/www/f.mffb.com.cn/vendor/topthink/think-orm/src/model/concern/ModelEvent.php ( 2.33 KB )
  67. /yingpanguazai/ssd/ssd1/www/f.mffb.com.cn/vendor/topthink/think-orm/src/model/concern/RelationShip.php ( 28.29 KB )
  68. /yingpanguazai/ssd/ssd1/www/f.mffb.com.cn/vendor/topthink/think-helper/src/contract/Arrayable.php ( 0.09 KB )
  69. /yingpanguazai/ssd/ssd1/www/f.mffb.com.cn/vendor/topthink/think-helper/src/contract/Jsonable.php ( 0.13 KB )
  70. /yingpanguazai/ssd/ssd1/www/f.mffb.com.cn/vendor/topthink/think-orm/src/model/contract/Modelable.php ( 0.09 KB )
  71. /yingpanguazai/ssd/ssd1/www/f.mffb.com.cn/vendor/topthink/framework/src/think/Db.php ( 2.88 KB )
  72. /yingpanguazai/ssd/ssd1/www/f.mffb.com.cn/vendor/topthink/think-orm/src/DbManager.php ( 8.52 KB )
  73. /yingpanguazai/ssd/ssd1/www/f.mffb.com.cn/vendor/topthink/framework/src/think/Log.php ( 6.28 KB )
  74. /yingpanguazai/ssd/ssd1/www/f.mffb.com.cn/vendor/topthink/framework/src/think/Manager.php ( 3.92 KB )
  75. /yingpanguazai/ssd/ssd1/www/f.mffb.com.cn/vendor/psr/log/src/LoggerTrait.php ( 2.69 KB )
  76. /yingpanguazai/ssd/ssd1/www/f.mffb.com.cn/vendor/psr/log/src/LoggerInterface.php ( 2.71 KB )
  77. /yingpanguazai/ssd/ssd1/www/f.mffb.com.cn/vendor/topthink/framework/src/think/Cache.php ( 4.92 KB )
  78. /yingpanguazai/ssd/ssd1/www/f.mffb.com.cn/vendor/psr/simple-cache/src/CacheInterface.php ( 4.71 KB )
  79. /yingpanguazai/ssd/ssd1/www/f.mffb.com.cn/vendor/topthink/think-helper/src/helper/Arr.php ( 16.63 KB )
  80. /yingpanguazai/ssd/ssd1/www/f.mffb.com.cn/vendor/topthink/framework/src/think/cache/driver/File.php ( 7.84 KB )
  81. /yingpanguazai/ssd/ssd1/www/f.mffb.com.cn/vendor/topthink/framework/src/think/cache/Driver.php ( 9.03 KB )
  82. /yingpanguazai/ssd/ssd1/www/f.mffb.com.cn/vendor/topthink/framework/src/think/contract/CacheHandlerInterface.php ( 1.99 KB )
  83. /yingpanguazai/ssd/ssd1/www/f.mffb.com.cn/app/Request.php ( 0.09 KB )
  84. /yingpanguazai/ssd/ssd1/www/f.mffb.com.cn/vendor/topthink/framework/src/think/Request.php ( 55.78 KB )
  85. /yingpanguazai/ssd/ssd1/www/f.mffb.com.cn/app/middleware.php ( 0.25 KB )
  86. /yingpanguazai/ssd/ssd1/www/f.mffb.com.cn/vendor/topthink/framework/src/think/Pipeline.php ( 2.61 KB )
  87. /yingpanguazai/ssd/ssd1/www/f.mffb.com.cn/vendor/topthink/think-trace/src/TraceDebug.php ( 3.40 KB )
  88. /yingpanguazai/ssd/ssd1/www/f.mffb.com.cn/vendor/topthink/framework/src/think/middleware/SessionInit.php ( 1.94 KB )
  89. /yingpanguazai/ssd/ssd1/www/f.mffb.com.cn/vendor/topthink/framework/src/think/Session.php ( 1.80 KB )
  90. /yingpanguazai/ssd/ssd1/www/f.mffb.com.cn/vendor/topthink/framework/src/think/session/driver/File.php ( 6.27 KB )
  91. /yingpanguazai/ssd/ssd1/www/f.mffb.com.cn/vendor/topthink/framework/src/think/contract/SessionHandlerInterface.php ( 0.87 KB )
  92. /yingpanguazai/ssd/ssd1/www/f.mffb.com.cn/vendor/topthink/framework/src/think/session/Store.php ( 7.12 KB )
  93. /yingpanguazai/ssd/ssd1/www/f.mffb.com.cn/vendor/topthink/framework/src/think/Route.php ( 23.73 KB )
  94. /yingpanguazai/ssd/ssd1/www/f.mffb.com.cn/vendor/topthink/framework/src/think/route/RuleName.php ( 5.75 KB )
  95. /yingpanguazai/ssd/ssd1/www/f.mffb.com.cn/vendor/topthink/framework/src/think/route/Domain.php ( 2.53 KB )
  96. /yingpanguazai/ssd/ssd1/www/f.mffb.com.cn/vendor/topthink/framework/src/think/route/RuleGroup.php ( 22.43 KB )
  97. /yingpanguazai/ssd/ssd1/www/f.mffb.com.cn/vendor/topthink/framework/src/think/route/Rule.php ( 26.95 KB )
  98. /yingpanguazai/ssd/ssd1/www/f.mffb.com.cn/vendor/topthink/framework/src/think/route/RuleItem.php ( 9.78 KB )
  99. /yingpanguazai/ssd/ssd1/www/f.mffb.com.cn/route/app.php ( 1.72 KB )
  100. /yingpanguazai/ssd/ssd1/www/f.mffb.com.cn/vendor/topthink/framework/src/think/facade/Route.php ( 4.70 KB )
  101. /yingpanguazai/ssd/ssd1/www/f.mffb.com.cn/vendor/topthink/framework/src/think/route/dispatch/Controller.php ( 4.74 KB )
  102. /yingpanguazai/ssd/ssd1/www/f.mffb.com.cn/vendor/topthink/framework/src/think/route/Dispatch.php ( 10.44 KB )
  103. /yingpanguazai/ssd/ssd1/www/f.mffb.com.cn/app/controller/Index.php ( 4.81 KB )
  104. /yingpanguazai/ssd/ssd1/www/f.mffb.com.cn/app/BaseController.php ( 2.05 KB )
  105. /yingpanguazai/ssd/ssd1/www/f.mffb.com.cn/vendor/topthink/think-orm/src/facade/Db.php ( 0.93 KB )
  106. /yingpanguazai/ssd/ssd1/www/f.mffb.com.cn/vendor/topthink/think-orm/src/db/connector/Mysql.php ( 5.44 KB )
  107. /yingpanguazai/ssd/ssd1/www/f.mffb.com.cn/vendor/topthink/think-orm/src/db/PDOConnection.php ( 52.47 KB )
  108. /yingpanguazai/ssd/ssd1/www/f.mffb.com.cn/vendor/topthink/think-orm/src/db/Connection.php ( 8.39 KB )
  109. /yingpanguazai/ssd/ssd1/www/f.mffb.com.cn/vendor/topthink/think-orm/src/db/ConnectionInterface.php ( 4.57 KB )
  110. /yingpanguazai/ssd/ssd1/www/f.mffb.com.cn/vendor/topthink/think-orm/src/db/builder/Mysql.php ( 16.58 KB )
  111. /yingpanguazai/ssd/ssd1/www/f.mffb.com.cn/vendor/topthink/think-orm/src/db/Builder.php ( 24.06 KB )
  112. /yingpanguazai/ssd/ssd1/www/f.mffb.com.cn/vendor/topthink/think-orm/src/db/BaseBuilder.php ( 27.50 KB )
  113. /yingpanguazai/ssd/ssd1/www/f.mffb.com.cn/vendor/topthink/think-orm/src/db/Query.php ( 15.71 KB )
  114. /yingpanguazai/ssd/ssd1/www/f.mffb.com.cn/vendor/topthink/think-orm/src/db/BaseQuery.php ( 45.13 KB )
  115. /yingpanguazai/ssd/ssd1/www/f.mffb.com.cn/vendor/topthink/think-orm/src/db/concern/TimeFieldQuery.php ( 7.43 KB )
  116. /yingpanguazai/ssd/ssd1/www/f.mffb.com.cn/vendor/topthink/think-orm/src/db/concern/AggregateQuery.php ( 3.26 KB )
  117. /yingpanguazai/ssd/ssd1/www/f.mffb.com.cn/vendor/topthink/think-orm/src/db/concern/ModelRelationQuery.php ( 20.07 KB )
  118. /yingpanguazai/ssd/ssd1/www/f.mffb.com.cn/vendor/topthink/think-orm/src/db/concern/ParamsBind.php ( 3.66 KB )
  119. /yingpanguazai/ssd/ssd1/www/f.mffb.com.cn/vendor/topthink/think-orm/src/db/concern/ResultOperation.php ( 7.01 KB )
  120. /yingpanguazai/ssd/ssd1/www/f.mffb.com.cn/vendor/topthink/think-orm/src/db/concern/WhereQuery.php ( 19.37 KB )
  121. /yingpanguazai/ssd/ssd1/www/f.mffb.com.cn/vendor/topthink/think-orm/src/db/concern/JoinAndViewQuery.php ( 7.11 KB )
  122. /yingpanguazai/ssd/ssd1/www/f.mffb.com.cn/vendor/topthink/think-orm/src/db/concern/TableFieldInfo.php ( 2.63 KB )
  123. /yingpanguazai/ssd/ssd1/www/f.mffb.com.cn/vendor/topthink/think-orm/src/db/concern/Transaction.php ( 2.77 KB )
  124. /yingpanguazai/ssd/ssd1/www/f.mffb.com.cn/vendor/topthink/framework/src/think/log/driver/File.php ( 5.96 KB )
  125. /yingpanguazai/ssd/ssd1/www/f.mffb.com.cn/vendor/topthink/framework/src/think/contract/LogHandlerInterface.php ( 0.86 KB )
  126. /yingpanguazai/ssd/ssd1/www/f.mffb.com.cn/vendor/topthink/framework/src/think/log/Channel.php ( 3.89 KB )
  127. /yingpanguazai/ssd/ssd1/www/f.mffb.com.cn/vendor/topthink/framework/src/think/event/LogRecord.php ( 1.02 KB )
  128. /yingpanguazai/ssd/ssd1/www/f.mffb.com.cn/vendor/topthink/think-helper/src/Collection.php ( 16.47 KB )
  129. /yingpanguazai/ssd/ssd1/www/f.mffb.com.cn/vendor/topthink/framework/src/think/facade/View.php ( 1.70 KB )
  130. /yingpanguazai/ssd/ssd1/www/f.mffb.com.cn/vendor/topthink/framework/src/think/View.php ( 4.39 KB )
  131. /yingpanguazai/ssd/ssd1/www/f.mffb.com.cn/vendor/topthink/framework/src/think/Response.php ( 8.81 KB )
  132. /yingpanguazai/ssd/ssd1/www/f.mffb.com.cn/vendor/topthink/framework/src/think/response/View.php ( 3.29 KB )
  133. /yingpanguazai/ssd/ssd1/www/f.mffb.com.cn/vendor/topthink/framework/src/think/Cookie.php ( 6.06 KB )
  134. /yingpanguazai/ssd/ssd1/www/f.mffb.com.cn/vendor/topthink/think-view/src/Think.php ( 8.38 KB )
  135. /yingpanguazai/ssd/ssd1/www/f.mffb.com.cn/vendor/topthink/framework/src/think/contract/TemplateHandlerInterface.php ( 1.60 KB )
  136. /yingpanguazai/ssd/ssd1/www/f.mffb.com.cn/vendor/topthink/think-template/src/Template.php ( 46.61 KB )
  137. /yingpanguazai/ssd/ssd1/www/f.mffb.com.cn/vendor/topthink/think-template/src/template/driver/File.php ( 2.41 KB )
  138. /yingpanguazai/ssd/ssd1/www/f.mffb.com.cn/vendor/topthink/think-template/src/template/contract/DriverInterface.php ( 0.86 KB )
  139. /yingpanguazai/ssd/ssd1/www/f.mffb.com.cn/runtime/temp/067d451b9a0c665040f3f1bdd3293d68.php ( 11.98 KB )
  140. /yingpanguazai/ssd/ssd1/www/f.mffb.com.cn/vendor/topthink/think-trace/src/Html.php ( 4.42 KB )
  1. CONNECT:[ UseTime:0.000591s ] mysql:host=127.0.0.1;port=3306;dbname=f_mffb;charset=utf8mb4
  2. SHOW FULL COLUMNS FROM `fenlei` [ RunTime:0.000692s ]
  3. SELECT * FROM `fenlei` WHERE `fid` = 0 [ RunTime:0.013583s ]
  4. SELECT * FROM `fenlei` WHERE `fid` = 63 [ RunTime:0.000283s ]
  5. SHOW FULL COLUMNS FROM `set` [ RunTime:0.000500s ]
  6. SELECT * FROM `set` [ RunTime:0.000242s ]
  7. SHOW FULL COLUMNS FROM `article` [ RunTime:0.000766s ]
  8. SELECT * FROM `article` WHERE `id` = 486344 LIMIT 1 [ RunTime:0.000644s ]
  9. UPDATE `article` SET `lasttime` = 1776161870 WHERE `id` = 486344 [ RunTime:0.014300s ]
  10. SELECT * FROM `fenlei` WHERE `id` = 66 LIMIT 1 [ RunTime:0.000311s ]
  11. SELECT * FROM `article` WHERE `id` < 486344 ORDER BY `id` DESC LIMIT 1 [ RunTime:0.000897s ]
  12. SELECT * FROM `article` WHERE `id` > 486344 ORDER BY `id` ASC LIMIT 1 [ RunTime:0.006957s ]
  13. SELECT * FROM `article` WHERE `id` < 486344 ORDER BY `id` DESC LIMIT 10 [ RunTime:0.001218s ]
  14. SELECT * FROM `article` WHERE `id` < 486344 ORDER BY `id` DESC LIMIT 10,10 [ RunTime:0.002009s ]
  15. SELECT * FROM `article` WHERE `id` < 486344 ORDER BY `id` DESC LIMIT 20,10 [ RunTime:0.001575s ]
0.113990s